Pria Operasi Pemanjangan Kaki karena Sering Dicemooh Pendek, Begini Hasilnya
Seorang pria rela menjalani operasi untuk menambah tinggi badannya. Keputusan ini dia ambil setelah diperlakukan seperti anak kecil karena bertubuh pendek.
Dynzell Sigers, mantan medis angkatan laut, ingin terlihat lebih menarik di mata para wanita. Menurutnya salah satu faktor yang membuat pria terlihat maskulin dan disukai banyak wanita adalah memiliki tubuh tinggi dan tegap.
Pria 27 tahun ini pun nekat menjalani prosedur ekstrem dengan menambah tinggi badan melalui operasi. Dia memanjangkan badannya dari 165 cm menjadi 182 cm.
ADVERTISEMENT
SCROLL TO CONTINUE WITH CONTENT
Pria asal Chicao, Illinois, AS, mengaku kepercayaan dirinya bertambah dan merasa lebih maskulin setelah menjadi lebih tinggi 17 cm. Namun sebelumnya dia harus melewati proses yang menyakitkan dan itu tidak sebentar.
Pria berambut gimbal ini menjalani operasi pemanjangan kaki di Turki pada Desember 2022. Untuk prosedur rumit itu, Dynzell menghabiskan uang hingga Rp 1,1 miliar. Biaya belum termasuk perawatan selama 10 hari di rumah sakit dan rehabilitasi rutin untuk pemulihan serta latihan berjalan.
Dynzell Sigers operasi pemanjangan kaki untuk jadi lebih tinggi. Foto: Dok. Dynzell Sigers |
Melihat hasil akhirnya, Dynzell mengaku puas dan rasa sakit serta biaya besar yang dia keluarkan pun terbayarkan. Kini dia lebih percaya diri dan siap mengejar karier barunya di dunia musik. Dirinya juga mengaku lebih banyak wanita yang mendekatinya dibandingkan saat dia masih bertubuh pendek.
"Saya selalu dibandingkan dengan ayah saya. Sebagian besar pria dari keluarga ayah tubuhnya sangat tinggi. Saya pernah foto bareng mereka dan selalu saja dikomentari kalau tubuh saya jauh lebih kecil dari ayah saya. Saya merasa keluarga memperlakukan saya seperti anak kecil," curhat Dynzell, seperti dikutip dari Daily Star.
Dia juga sering dianggap remeh saat masih bergabung di angkatan laut. Selama delapan tahun berada di militer, Dynzell selalu dikelilingi pria-pria berbadan besar, sehingga kemampuannya sering kali diragukan. Hal itu pula yang membuatnya memutuskan keluar dari angkatan laut.
Dynzell Sigers operasi pemanjangan kaki untuk jadi lebih tinggi. Foto: Dok. Dynzell Sigers |
"Orang-orang akan kaget ketika saya melakukan sesuatu yang mereka pikir hanya bisa dikerjakan oleh pria berbadan tinggi. Mereka bilang, 'Gila banget, kamu ternyata kuat ya untuk ukuran tubuh kecil seperti ini.' Itu sebenarnya pujian yang menghina, mengecilkan. Tinggi badan saya sangat berpengaruh terhadap maskulinitas saya," ujarnya.
Memiliki tinggi badan 182 cm pun membuat DYnzell jadi merasa lebih bisa melakukan berbagai hal, termasuk dalam bermusik. Dia juga jadi pribadi yang lebih terbuka, percaya diri dan makin banyak didekati wanita.
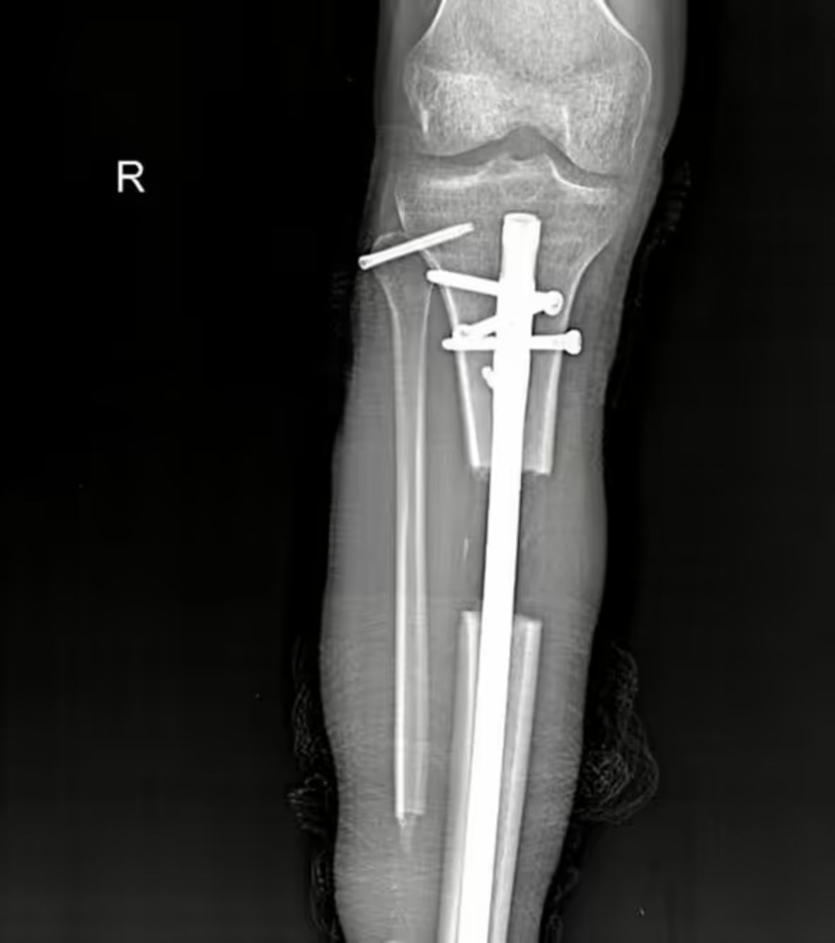
Operasi pemanjangan kaki yang dilakukan Dynzell disebut sebagai 'lengthening over nail' atau LON. Prosedur ini dilakukan dengan cara mematahkan kedua tulang kaki, kemudian dokter akan memasang semacam gagang dengan paku di antara patahan tersebut.
Kemudian gagang yang tertanam dalam kaki akan dipanjangkan secara perlahan setiap enam jam sekali. Seiring berjalannya waktu, dengan rehabilitasi dan fisioterapi rutin, tulang akan menjadi lebih kuat sampai akhirnya bisa menopang tubuh tanpa bantuan.
(hst/hst)
Hobbies & Activities
4 Novel Ini Menggugah Rasa dan Pikiran, Layak Dibaca Sekali Seumur Hidup
Elektronik & Gadget
KiiP Wireless EW56: Power Bank Magnetik yang Bikin Hidup Lebih Praktis
Home & Living
Tidak Perlu Repot Bawa Setrika Besar! Setrika Ini Harus Kamu Bawa saat Traveling
Health & Beauty
Bulu Mata Lentik Instan Tanpa Ribet! Cek 3 Produk Ini, Praktis untuk Pemula
Studi Ungkap Bawang Putih Ternyata Bisa Jadi Mouthwash Alami Lawan Bakteri
Tipe Orang Saat Olahraga Berdasarkan Zodiaknya: Mana yang Kamu Banget?
Bukan karena Pewarnaan, 80% Rambut Wanita Indonesia Rusak karena Ini
Fakta! Kentut Wanita Lebih Bau Dibanding Pria, Ada Penjelasan Ilimiahnya
Viral Wooyoung ATEEZ Komentari Kalori Susu Pisang Setara Nasi, Picu Kritik
Penyanyi Erra Fazira Menikah Lagi, Mas Kawin Pohon Emas 102 Gram Jadi Sorotan
TikTok Viral Verificator
Dikira Banjir Bandang! Foto Pernikahan Berlatar Air Terjun Keruh Ini Viral
Ramalan Zodiak 15 Desember: Aries Pilih Langkah Aman, Taurus Jangan Ragu
Prada Jual Sandal Made-in-India Rp 15 Juta, Diawali Kontroversi













































